📢 Serdecznie zapraszamy na publiczną obronę rozprawy doktorskiej naszego kolegi 👉 Bartłomieja Sztylera w dyscyplinie: automatyka, elektronika, elektrotechnika i technologie kosmiczne
Aktualności Instytutu Elektroniki
Data dodania
Kategorie
W lutym pracownik Instytutu dr Marcin Kałuża odbywa staż naukowy na 🇬🇷 Aristotle University of Thessaloniki (AUTH) w Salonikach, jednym z wiodących ośrodków badawczych w regionie.
Data dodania
Kategorie
W tym roku akademickim wyjątkowo wiosną - a nie jesienią - zapraszamy studentów i pracowników Politechniki Łódzkiej na kolejną edycję flagowego wydarzenia promującego mobilność międzynarodową 🌍✈️
Data dodania
Kategorie
W najnowszym artykule pracownicy naszego Instytutu analizują, jak różne metody augmentacji sygnałów EEG wpływają na skuteczność klasyfikacji wyobrażonego ruchu (motor imagery) w systemach BCI (Brain-Computer Interface).
Data dodania
Kategorie
🩺 Sztuczna inteligencja w radiologii niesie zarówno znaczące korzyści, jak i istotne zagrożenia. Modele językowe wspierają analizę dokumentacji medycznej, sieci konwolucyjne potrafią osiągać bardzo wysoką dokładność w precyzyjnie zdefiniowanych zadaniach, takich jak interpretacja obrazów, wykrywanie i ocena zmian chorobowych. 🧬 Dzięki temu AI zmniejsza zmienność ocen między radiologami, poprawia powtarzalność analiz oraz zwiększa efektywność pracy, odciążając specjalistów w zadaniach rutynowych.
Data dodania
Kategorie
🚀 Od pomysłu do działającego prototypu - tak pracują nasi studenci na zajęciach projektowych w Instytucie. Tworzą w pełni funkcjonalne urządzenia elektroniczne, przechodząc cały proces inżynierski: analizę potrzeb rynku, dobór komponentów, projekt PCB, programowanie mikrokontrolerów i testy gotowych prototypów.
Data dodania
Kategorie
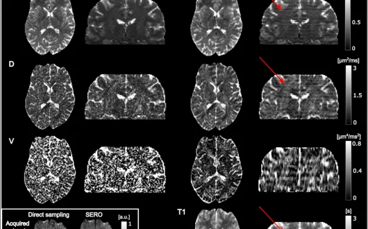
Na to pytanie odpowiada artykuł "Toward Super Resolution Reconstruction of Diffusion-Relaxation MRI Using Slice Excitation With Random Overlap (SERO)", autorstwa Felixa Mortensena, Jakuba Jurka, Jensa Sjölunda, Geraline Vis, Ronniego Wirestama, Malwiny Molendowskiej, Andrzeja Materki i Filipa Szczepankiewicza.
Data dodania
Kategorie
Zachęcamy naszych studentów i absolwentów do udziału w IV Ogólnopolskim Konkursie na Najlepsze Prace Dyplomowe, organizowanym przez TRUMPF Huettinger - renomowanego producenta zaawansowanych systemów zasilania i elektroniki dla przemysłu high-tech.
Data dodania
Kategorie
Jak wyglądają nowoczesne zajęcia z elektroniki? W naszym Instytucie stawiamy na praktyczne podejście do kształcenia inżynierów, dlatego studenci już od pierwszych lat pracują z realnymi komponentami i rozwiązaniami stosowanymi w przemyśle.
Data dodania
Kategorie
📢 Serdecznie zapraszamy na publiczną obronę rozprawy doktorskiej naszego kolegi 👉 Sebastiana Urbasia w dyscyplinie: automatyka, elektronika, elektrotechnika i technologie kosmiczne
Data dodania
Kategorie
Już 10 lutego Politechnika Łódzka rozpoczyna rekrutację na studia II stopnia. Kandydaci mogą wybierać spośród 32 kierunków studiów, w tym 6 prowadzonych w języku angielskim, a w tegorocznej ofercie pojawia się również nowość: BIM - modelowanie i koordynacja.
Data dodania
Kategorie
Z radością informujemy, że dzięki wsparciu firmy Transfer Multisort Elektronik (TME) w Instytucie Elektroniki powstało nowoczesne, podwójne stanowisko do montażu i naprawy płytek PCB.
Data dodania
Kategorie
Pod koniec grudnia 2025 r. dr Marcin Kociołek powrócił z trzymiesięcznego stażu naukowego w National Institute of Standards and Technology (NIST) w Gaithersburgu (MD, USA) 🇺🇸 - jednej z wiodących światowych instytucji zajmujących się standaryzacją i badaniami technologicznymi.
Data dodania
Kategorie
💫 Z okazji nadchodzących Świąt Bożego Narodzenia oraz Nowego Roku życzymy wszystkim Pracownikom, Studentom, Doktorantom oraz Przyjaciołom Instytutu spokojnych, pełnych ciepła i radości chwil spędzonych w gronie najbliższych.
Data dodania
Z przyjemnością informujemy o sukcesie studentów Instytutu Elektroniki Politechniki Łódzkiej w konkursie Oddziału Łódzkiego Polskiego Towarzystwa Elektrotechniki Teoretycznej i Stosowanej (OŁ PTETiS) na najlepszy projekt kompetencyjny lub projekt inżynierski, edycja 2024/2025.